Προσθετική οδοντιατρική
Προσθετική Οδοντιατρική – Αποκατάσταση και Αναγέννηση του Χαμόγελου
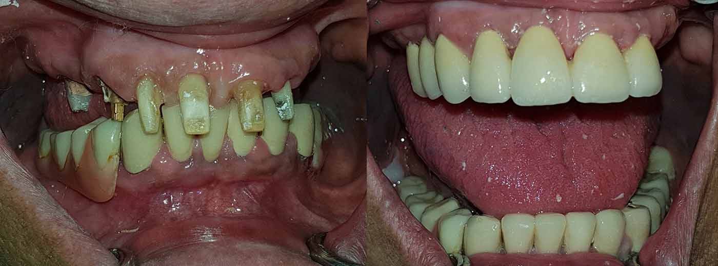
Στην Οδοντιατρική Φροντίδα, υπό την καθοδήγηση του οδοντιάτρου Χρήστου Κωνσταντινίδη, η προσθετική οδοντιατρική αποτελεί έναν από τους κύριους τομείς εξειδίκευσής μας. Με εμπειρία άνω των 35 ετών, έχουμε αποκαταστήσει εκατοντάδες χαμόγελα, βελτιώνοντας τη στοματική λειτουργία, την αισθητική και την ποιότητα ζωής των ασθενών μας.
Η συνεχής μετεκπαίδευσή μας στην προσθετική, καθώς και η παρακολούθηση των τελευταίων εξελίξεων μέσω συνεδρίων και εξειδικευμένων σεμιναρίων, μας επιτρέπει να αντιμετωπίζουμε ακόμα και τα πιο απαιτητικά περιστατικά. Δίνουμε έμφαση στην ακρίβεια της εφαρμογής, στην αντοχή των αποκαταστάσεων και στην απόλυτη προσαρμογή τους στις ανάγκες κάθε ασθενούς.
Από κινητές και ακίνητες προσθετικές αποκαταστάσεις έως σύνθετες ολικές ανακατασκευές, η τεχνογνωσία και η προσοχή μας στη λεπτομέρεια εξασφαλίζουν ένα φυσικό και αρμονικό χαμόγελο, διατηρώντας παράλληλα τη στοματική υγεία. Στόχος μας είναι η άψογη αποκατάσταση της λειτουργικότητας και της αισθητικής του στόματος, με θεαματικά αποτελέσματα που αντέχουν στον χρόνο.














